Servicios

Odontología estética y restauradora con enfoque conservador

Valoración

Uno de los momentos que más disfruto como odontóloga: La consulta de valoración. Es el primer paso en tu atención. Me permite conocerte, entender tus necesidades y empezar a construir un plan de tratamiento personalizado.

En esta cita:

  • Te haré preguntas generales, sobre tu salud bucal, expectativas, hábitos, alimentación, etc. Todo con la finalidad de conocerte y llenar tu historia clínica para un tratamiento individual.
  • Examen clínico de tus dientes, encías y tejidos blandos.
  • En la mayoría de los casos, realizo un detartraje y profilaxis (limpieza). Porque, ¿cómo hago para observar la superficie dental con placa? Mi diagnóstico idealmente debe ser sobre una superficie limpia.

Para complementar un plan de tratamiento, puede que te pida exámenes como radiografías o interconsulta con otro especialista de mi equipo de trabajo. Desde acá empezamos al cuidado dental consciente e individualizado.

Consulta de valoración odontológica

Odontología Preventiva

¡La prevención es una de mis pasiones! Cuidar de tu salud dental antes de que aparezca el daño y el que ya exista, detenerlo.

El primer paso para dar manejo es la evaluación de factores de riesgo. Estos se deben tener claros para un manejo eficaz y personalizado en cada paciente. Se derivan de antecedentes sociales, médicos, comportamentales y dentales.

  • Diagnóstico precoz y controles periódicos.
  • Educación personalizada en higiene y productos dentales.
  • Orientación dietética.

La odontología preventiva no es solo para niños. Es una herramienta efectiva para proteger tu salud oral en todas las etapas de la vida.

Odontología preventiva

Manejo no Invasivo de la Caries Dental

Durante muchos años, la odontología tuvo un enfoque mecánico: si había caries, se perforaba el diente y se hacía una restauración muy amplia: "extensión por prevención."

Hoy, la operatoria moderna propone algo distinto: tratar la caries con una mirada conservadora, preservando al máximo la estructura natural del diente.

Okay, pero ¿qué es una mínima intervención?

  • Diagnóstico temprano y por niveles de riesgo individual.
  • Intervengo en tus hábitos de higiene, alimentación y uso de fluoruros.
  • Uso de biomateriales que detienen o remineralizan la lesión.
  • Solo en casos necesarios, restauraciones con técnicas restauradoras.

¿Te da miedo ese ruidito de la turbina (fresa)? ¡No te preocupes! Es un instrumento muy útil para nosotros pero cada día se utiliza menos. Su uso podría ser proporcional a tu descuido.

Manejo no invasivo de caries dental

Estética Dental

Que esté alineada con la naturalidad y la odontología conservadora, no significa que no realice tratamientos estéticos. Soy una persona un poco vanidosa, me gusta admirar la belleza y valoro una autoestima saludable que te puede generar una persona, especialmente si es a través de su sonrisa.

En mi práctica, busco resultados naturales y que respeten la anatomía dental y facial de cada paciente. No promuevo sonrisas artificiales ni tratamientos innecesarios.

¿Qué tratamientos realizo en esta área?

  • Restauraciones estéticas en resina de alta calidad
  • Blanqueamiento dental
  • Diseño de sonrisa funcional y natural
  • Corrección de forma, color o tamaño con mínima intervención
  • Carillas dentales en porcelana
Estética dental

Diseño de Sonrisa

El diseño de sonrisa no es un tratamiento único ni estándar, sino un proceso personalizado e integral. Es un conjunto de tratamientos que nos lleve a mejorar la estética dental y facial.

Cada persona necesita algo distinto. A veces el cambio está en detalles sutiles: un aclaramiento, o solo restaurar un borde. Otras veces requiere una intervención más amplia.

Entonces, ¿qué puede incluir un diseño de sonrisa?

  • Ortodoncia
  • Aclaramiento dental
  • Restauraciones estéticas en resinas
  • Carillas en porcelana
  • Corrección de formas y bordes dentales
  • Aplicación de toxina botulínica (botox)

Uno de los puntos más importantes al momento de realizarte un diseño de sonrisa es encontrar a un especialista que esté alineado a tu mismo concepto de belleza. Si queremos una cosa, busquémoslo en el lugar correcto.

Diseño de sonrisa

Blanqueamiento Dental

¿Quién no quiere un blanqueamiento dental? Uno de los tratamientos estéticos más solicitados y con expectativas altas. Este tratamiento puede formar parte de un plan integral de estética o realizarse como procedimiento individual.

¿Cómo es?

  • Primero una valoración clínica previa, para descartar lesiones de caries u otro tipo de enfermedad que sea prioridad.
  • Toma de color y registro fotográfico.
  • Dos técnicas de aclaramiento dental: consultorio o ambulatorio.
  • Algunos ajustes en higiene y alimentación.

Me encanta cuando los resultados son naturales y sutiles, respetando siempre la estructura del esmalte.

Blanqueamiento dental profesional

Rehabilitación Oral

La rehabilitación oral busca recuperar la función y la estética cuando hay desgaste, daño o pérdida de uno o más dientes.

Cada caso requiere una planificación individual que puede incluir restauraciones en coronas, incrustaciones, y en algunos casos, implantes dentales.

Mi enfoque siempre es conservador, funcional y estético, adaptado a lo que cada paciente realmente necesita sin tratamientos que no son necesarios.

Rehabilitación oral

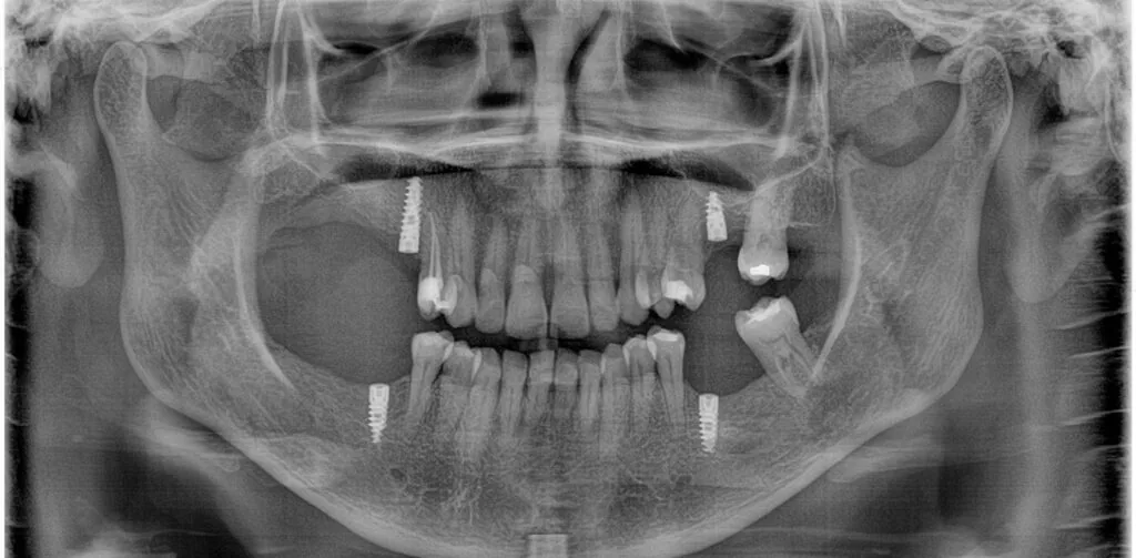
Implantes Dentales

¿Perdiste un diente y no sabes cómo reemplazarlo? ¡La opción de desgastar los dientes vecinos es parte del pasado! Los implantes dentales son una solución fija y segura para reemplazar estos dientes perdidos.

¿En qué consiste?

  • La primera parte es la quirúrgica, donde se coloca el implante que se integra al hueso, y
  • La segunda es la restauración estética y funcional de la corona del diente.

Trabajo en conjunto con especialistas certificados para asegurar un diagnóstico correcto y planificación precisa.

No todos los pacientes son candidatos, por eso lo más importante es una valoración previa donde podamos ver tus opciones reales.

Implantes dentales

Otras Especialidades

No trabajo sola. Parte de mi equipo siempre estarás tú, mi paciente y otros especialistas.

Para diseñar un plan de tratamiento integral, necesito apoyarme en colegas expertos en áreas como periodoncia, cirugía o endodoncia. Trabajar en red con una comunicación constante entre profesionales, nos ayuda a que tú recibas una atención precisa, coordinada y alineada con tus objetivos de salud.

Tu sonrisa merece un equipo, no una solución rápida.

Equipo de especialistas

Agenda tu cita

Si deseas una valoración o tienes dudas sobre algún tratamiento, escríbenos.